Wisdom Tooth Extractions Tampa, FL

Affordable Tooth Extractions in Tampa

That Tight, Achy Feeling in the Back of Your Mouth?

A lot of patients describe it the same way: a dull pressure behind the molars that comes and goes at first, then suddenly makes eating or even opening their mouth feel difficult. Wisdom teeth have a habit of showing up quietly and then creating chaos when you least expect it. If that sounds familiar, you’re not alone.

When these teeth don't have room to grow, they tend to cause swelling, headaches, or trouble cleaning the area. If you’ve reached the point where something doesn’t feel right, our team can help you figure out whether a Tampa Wisdom Tooth Extraction is the next step toward relief.

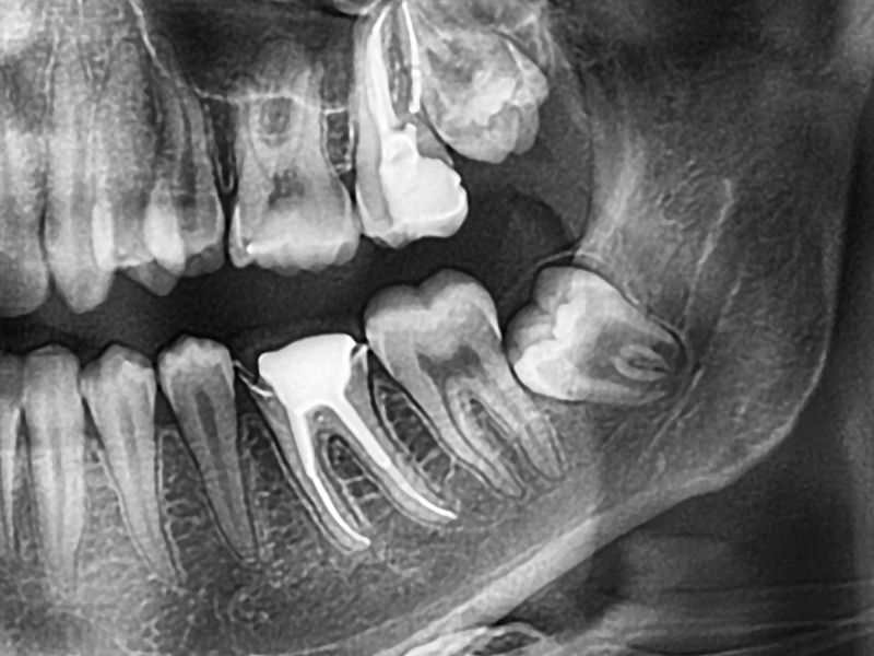
Understanding What’s Going On With Your Wisdom Teeth

Wisdom teeth come in long after the rest of your smile has settled. That late arrival often puts them at odd angles. Some stay stuck under the gums, some push against the molars you already rely on, and others peek through halfway and collect bacteria.

During your visit, we walk you through your X-rays and explain what your teeth are doing in plain language. The goal isn’t to rush you into treatment. It’s simply to help you understand your options for Wisdom Tooth Removal Tampa so you can make a decision that feels right.

Why Removing Problematic Wisdom Teeth Makes a Big Difference

You Get Your Comfort Back

affordable tooth extraction tampa flThe moment those teeth stop pressing on your jaw, everything feels lighter. Patients often notice the difference within a day or two.

Your Gums Calm Down

When wisdom teeth only partially erupt, they create deep, hard-to-clean spaces. Food and bacteria settle in easily, which leads to infections or irritation. Removing the tooth removes the pocket.

Protecting the Molars You Use Every Day

Your chewing teeth take a beating as it is. When an impacted wisdom tooth leans into them, cracks and shifting can follow. Early Tampa Tooth Extraction often prevents that damage.

Avoiding Sudden Emergencies

An irritated wisdom tooth can turn into a sleepless night fast. Acting early usually means you never need Emergency Tooth Extraction Tampa care later.

When Wisdom Tooth Extraction Isn’t Necessary

Some wisdom teeth behave themselves. They come in straight, stay clean, and don’t bother the teeth around them. If you’re in that group, we may recommend monitoring instead of treatment.

Pain can also come from something unrelated — a cavity, sinus pressure, or clenching. We sort that out before we talk about any Tooth Extraction Tampa, FL options.

What Your Appointment Looks Like at Sunshine Dentistry

We Start With a Clear Look

tampa fl tooth extractionsYou’ll see your digital X-rays and we’ll point out exactly what’s happening. Many patients feel more at ease once they understand the “why” behind their symptoms.

Your Comfort Options Come Next

If extraction makes sense, we talk about numbing and sedation choices. Some want to be fully relaxed, others prefer a local anesthetic. You choose what feels comfortable for you during your Tampa Wisdom Tooth Removal.

The Extraction Itself

Our team removes the tooth using careful, precise steps to avoid unnecessary strain on your jaw or gums. The visit is often quicker than patients expect.

Heading Home With Clear Instructions

You receive simple guidelines for eating, cleaning, and reducing swelling. And if something doesn’t feel right later, we’re only a phone call away.

What to Expect After Your Wisdom Tooth Comes Out

Most people heal well with a couple of days of rest, soft foods, and a little ice. It’s normal to feel some soreness, but that sharp, deep pressure usually fades almost immediately.

If anything feels off — increased swelling, unusual discomfort, or a sudden change — our team is here. We also assist patients who need urgent attention, including Emergency Tooth Extraction Tampa, FL care when complications arise.

Why Patients Choose Us for Tooth Extraction in South Tampa

Wisdom Tooth Removal TampaPatients often tell us the same thing: they want someone who explains things clearly and doesn’t rush them. That’s how we approach every Tampa Tooth Extractions visit. You get honest guidance, plenty of reassurance, and care that focuses on your long-term dental health.

We use modern imaging, gentle methods, and a steady, calm approach that keeps you feeling grounded the whole time. After the problem tooth is gone, a lot of patients feel better both physically and mentally.

FAQs About Wisdom Tooth Extraction in Tampa

1. Do I have to remove all of my wisdom teeth?

Not always. If the teeth are healthy, straight, and easy to clean, we may recommend leaving them alone and checking them during your routine visits.

2. Will this hurt?

You stay numb throughout the procedure. Some patients choose sedation to stay relaxed. Most feel pressure, not sharp pain.

3. Is this type of Tooth Extraction in Tampa, FL covered by insurance?

A lot of plans offer coverage for wisdom tooth removal. We review your benefits with you beforehand so you know what to expect.

4. What is the usual recovery time?

Most people feel better within two or three days. Following your aftercare instructions helps everything heal smoothly.

5. What if the pain becomes severe?

If swelling or pain becomes intense, call us right away. We offer Emergency Tooth Extraction Tampa support when you need fast relief.

6. Can I remove all four wisdom teeth at once?

Yes, and many patients prefer it. You heal one time instead of four separate visits.

7. What happens if I ignore an impacted wisdom tooth?

The tooth can damage nearby molars, trigger gum infections, or create cysts. Treating the problem early avoids those issues.

8. Do you offer Affordable Tooth Extraction Tampa, FL options?

Yes. We give you straightforward pricing and financial options so planning feels manageable.

Ready to Find Out What’s Causing the Pain?

If your wisdom teeth are acting up or you’re worried something isn’t right, we can help. Call our Dentist in Tampa, FL, office at (813) 269-9360 today to schedule your appointment, and we’ll guide you through a calm, comfortable visit.

Call Us