Teeth Whitening in Tampa, FL

Professional Teeth Whitening Services Tampa

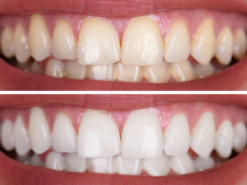
It's hard to imagine anything more appealing than a sparkling, white smile. Yet our teeth rarely stay as white as we'd like them to without a little help. Fortunately, that help is available at the dental office.

Teeth whitening done in a professional dental setting is a safe, effective way to brighten your smile. It's also perhaps the most economical cosmetic dental procedure. Depending on the whitening method you choose, results can be dramatic: in-office whitening, for example, can lighten teeth three to eight shades in a single hour. Professionally supervised whitening will work faster, and protect sensitive gums and tooth-root surfaces better, than over-the-counter whitening products. Having an oral exam before you begin any whitening process is an important first step to make sure your tooth discoloration is not the result of a dental condition in need of treatment. Also, please be aware that it can be risky to have whitening solutions applied to your teeth by untrained personnel in shopping malls. If you have any questions about which whitening method would be best for you, talk to us first.

Tampa Professional Teeth Whitening Methods

teeth whitening tampa florida	Professional whitening makes use of high-concentration bleaching gels that are not available over the counter.

In-Office Whitening

This technique offers the fastest results with the most powerful whitening solutions available. First, your gums and tooth-root surfaces will be covered with a protective barrier to ensure your safety. A thin plastic device known as a retractor will hold your lips and cheeks away from your teeth as a professional-strength hydrogen peroxide gel is applied. The gel will be left on for about an hour. When it is removed, the results will be obvious immediately.

Take-Home Whitening

This is another effective way to whiten your teeth, though you will play a greater role in ensuring the best possible results and several weeks may be needed to achieve your desired level of whiteness. First, a mold of your teeth will be taken and then two thin, flexible plastic mouth trays will be custom-made for you — one for the top teeth and one for the bottom. You will fill the trays with whitening gel and then position the trays over your teeth. The trays are left in usually for about an hour at a time.

Caring for Your Whitened Smile

There are lots of things you can do to make sure your whitening results last as long as possible, and this will vary from person to person (six months to two years or even longer). First of all, please maintain your usual, conscientious routine of brushing and flossing every day, and keep up with your regular schedule of professional cleanings at the dental office. Avoid foods and beverages that stain, including red wine, tea and coffee. If you smoke, use your newly whitened teeth as an impetus to quit — a good idea in any event! A minor touch-up every so often, either at home or at the dental office, can keep your smile bright and beautiful for years.

Teeth Whitening Tampa Florida

Have your teeth lost some of their natural shine? Everyone goes through it. Coffee, tea, wine, and even some foods can leave stains that brushing alone won't get rid of. Sunshine Dentistry offers professional teeth whitening Tampa. It safely gets rid of stains and makes your smile bright and confident again.

It's not just about how you look; it's also about how you feel. Having a bright smile can make you feel more confident and ready for anything, whether it's a big event or just a normal day at work.

A Simple Way to Brighten Your Smile

tampa teeth whiteningOur Tampa teeth whitening dentists use the latest technology to safely get rid of years' worth of stains from your enamel. In Tampa, FL, getting your teeth professionally whitened is faster and more even than using store-bought whitening strips or toothpaste. It also doesn't cause irritation or guesswork.

You will notice the difference right away. We make sure that our professional teeth whitening Tampa fits your smile's needs perfectly so that it works well and is comfortable. Because each person's teeth are a different color, our team will help you find the safest and prettiest shade of white for your smile.

Why You Should Get Teeth Whitening Tampa

Kits you can buy at the store might promise results, but they can't be as safe or accurate as whitening done at the dentist. We use professional-grade whitening gels that are stronger, more consistent, and closely watched to keep your gums and enamel safe.

At Sunshine Dentistry Tampa, your health and comfort come first. We won't rush you, and we'll make sure you understand everything that happens from beginning to end. The goal is simple: get results that look great and natural, make you feel good about yourself, and don't hurt your teeth.

What Tampa Teeth Whitening Process Feels Like

It doesn't take long to whiten your teeth; it usually only takes an hour. First, we'll quickly check to see if your gums and teeth are healthy. Next, we'll put a whitening gel on your enamel and protect your soft tissues. When a special light shines on the gel, it works better because it breaks up stains evenly and gently.

You will notice the difference right away after you take off the gel. You won't have to wait, and your teeth will be a few shades whiter. People who want to slowly whiten their teeth at home can get help from professional teeth whitening Tampa FL. They make trays just for them.

Keeping Your Smile Bright

If you take care of your teeth properly, the effects of teeth whitening Tampa FL can last for months or even years. We recommend that you brush and floss your teeth every day, get them cleaned often, and drink less dark drinks like coffee and red wine. If you like them, rinsing them off with water after can help keep new stains from forming.

If you get a quick touch-up every now and then, your smile will stay bright and fresh.

When Tampa Teeth Whitening Might Not Be Ideal

professional teeth whitening tampa flIf you have crowns, veneers, or fillings on your front teeth, whitening gel won't make them any lighter. If you have deep internal discoloration from trauma or medication, you might need a different cosmetic solution as well. During your visit, Tampa teeth whitening dentists will look at your smile and tell you what the best treatment is for you. To get the best results, we sometimes use whitening with other treatments.

See the Difference a Brighter Smile Makes

Getting your teeth whiter can make you look younger, lift your spirits, and give you more confidence in any situation. Many people say teeth whitening in Tampa is one of the easiest and most rewarding cosmetic procedures they've ever had.

We offer professional teeth whitening Tampa FL that is quick, easy, and based on years of experience helping people get natural, long-lasting results.

Commonly Asked Questions

Will teeth whitening in Tampa hurt my teeth?

Some patients are a little sensitive, but it doesn't last long. We can change your treatment or give you products that will help you get used to the pain.

How long does professional teeth whitening Tampa FL lasts?

Results vary, but most people who take good care of their teeth have a brighter smile for six months to two years.

Can I have teeth whitening Tampa Florida if I have had dental work done?

Yes, but the restorations won't change color. We'll show you how to match or update them so that you can have the perfect smile.

Is it better to whiten your teeth at the dentist's office than at home?

Yes, professional whitening gives you results that are faster and more even, and a professional will keep an eye on you to make sure your enamel stays safe.

Does teeth whitening Tampa damage teeth?

No. Professional whitening at Sunshine Dentistry is completely safe and doesn't hurt enamel when done right.

How much does teeth whitening Tampa FL cost?

We’ll discuss costs and options during your consultation and help you choose what fits your goals and budget.

Let Your Smile Shine Again

Every day, you should love your smile. Tampa teeth whitening dentists are happy to help you safely and effectively whiten your teeth. Call Sunshine Dentistry in Tampa, FL at (813) 269-9360 today to make an appointment and find out how easy it is to get your natural brightness back.

Interested in Teeth Whitening from Sunshine Dentistry?

Call our Tampa, FL office at (813) 755-1281 today!


Book An Appointment

Call Us